Устойчивость зубов
Подвижность зубов - это большая проблема и путь к их потере. На какое-то время мы можем их сохранить, устранив причину воспалений дёсен и объединив зубы с помощью шины.
Причина подвижности проста, кости челюсти, которая удерживала бы зубы больше нет, она просто рассосалась под давлением агрессивной бактериальной среды, которую не смогла задержать десна. Назад эту кость не вернуть, вам предстоит какое-то время носить шину, а в будущем восстановить всю челюсть на имплантатах.
Если Вы замечаете подвижность зубов, пожалуйста, записывайтесь на консультацию, мы постараемся сохранить ваши зубы, а если это будет невозможно, предложим качественное восстановление зубов современными методами имплантации.
Этапы лечения

Предварительная местная анестезия
Вы ничего не почувствуете, так как все действия будут проходить под анестезией.

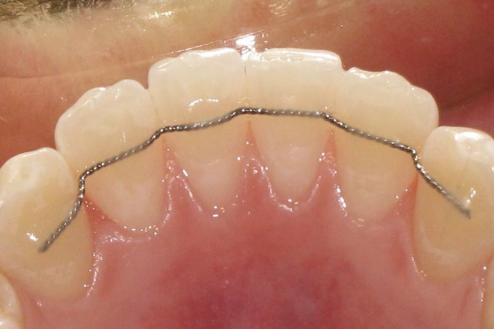
Надежно связываем несколько зубов лентой
Соединяем зубы гипоалергенной лентой, закрепляем её композитом.

Подвижность ликвидирована, воспаление проходит
Восстанавливается естественный цвет, убыль десны останавливается.

Десна восстанавливается
Поддерживайте гигиену и десна частично вернет свой прежний уровень.
Врачи, ответственные за вашу улыбку

Кравчук
Андрей Олегович
Стаж с 2020 года

Ломая
Анита Джониевна
Стаж с 2022 года

Кравчук
Андрей Олегович
Стаж с 2020 года

Ломая
Анита Джониевна
Стаж с 2022 года
Стоимость лечения десен

5 320 ₽

от 6 600 ₽


Если вы заметили ухудшение состояния десен, их отечность, кровоточивость, то запишитесь на прием к нашему пародонтологу
